É A MELHOR PLATAFORMA DE ESTUDO E AUTO-AVALIAÇÃO VINCULADA PARA MÉDICOS E ESTUDANTES DE MEDICINA
Escolher a tematica (coloca trÊs letras e depois escolhe a opÇÃo):
ASSISTE NOSSOS TUTORIAIS
PROCURAR QUESTÕES PELA PALAVRA CHAVE

RATING: 2.62 ![]()
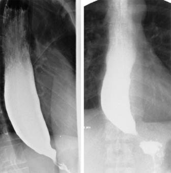
A condição mostrada no raio X abaixo é compatível com qual das seguintes manifestações?

A. Dificuldade de deglutir sólidos, mas não de líquidos
INCORRETO: O paciente geralmente queixa-se de dificuldade para deglutir sólidos e líquidos.
B. Incidência de carcinoma de esôfago acima da incidência na população normal
CORRETO : O carcinoma do esôfago é aproxirnadarnente sete vezes rnais freqüente ern pessoas portadoras de acalasia do que na população normal.
C. Incapacidade do esfíncter esofágico superior de relaxar em resposta à deglutição
INCORRETO : As características achadas no estudo de motilidade são: contrações de pequena amplitude repetitivas, que ocorrem sirnultanearnente no período de pós-deglutição ern região de corpo do esôfago; incapacidade do esfíncter inferior do esôfago de se abrir ao final da deglutição; e urna pressão acima do normal no corpo do esôfago.
D. Pressão normal no corpo esofágico
INCORRETO : As características achadas no estudo de motilidade incluem urna pressão acima do normal no corpo do esôfago.
E. Motilidade esofágica normal
INCORRETO : O diagnóstico de acalasia é geralmente suspeitado pelo esofagograrna; rnas, porque existem outras patologias de esôfago que rnirnetizarn essa condição, é necessário urn estudo de motilidade esofágica para a confirmação do diagnóstico.
Gabarito: B
RATING: 2.89 ![]()
I) SEMELHANÇAS:
II) DIFERENÇAS:
|
MASTITE PUERPERAL |
CARCINOMA INFLAMATORIO |
|
Respeita a anatomia segmentar da mama (0,03 p)> |
Acomete mais de um terço da mama (0,03 p) |
|
Manifestações sistêmicas (0,03 p) |
Ausentes ou fracas (0,03 p) |
|
Leucocitose com desvio a esquerda (0,03 p) |
Não associa leucocitose (0,03 p) |
|
Resposta a antibióticos (0,03 p) |
Não responde a antibioticos 0,03 p |
|
Não associa achatamento papilar (0,03 p) |
Achatamento papilar (0,03 p) |
FONTE:
Uma mulher de 28 anos observou perda de movimentação fetal com 36 semanas de gestação por datas. Não se ouviam batimentos cardíocos fetais com 40 semanas pela DUM, quando a paciente foi vista novamente. O útero media 30 cm a partir da sínfise até o fundo.
I) O que que a amniocentese provavelmente iria revelar neste caso?
A morte fetal é bastante provável. (0,05 p). Caso a amniocentese seja realizada um líquido escuro (0,05 p) que pode ser causado por mecônio (0,05 p) ou sangramento (0,05 p).
II) Que teste seria valioso para realizar neste momento?
Na presença de morte fetal há algum tempo, a mãe pode desenvolver uma coagulopatia de consumo (0,05 p). Uma coagulograma seria o melhor teste neste momento (0,05 p).
III) Qual é a complicação materna mais bem reconhecida que pode ocorrer neste caso?
Um feto morto retido no útero por mais de 5 semanas (0,05 p) provavelmente vai provocar uma hipofibrinogenemia (0,05 p); portanto, a capacidade de coagulação materna deve ser avaliada (0,05 p), pelo menos 1 vez por semana (0,05 p). Há indicação para expulsão do feto morto.
Todos os direitos reservados. 2026.
A VITÓRIA É SOMENTE SUA! O CAMINHO É NOSSO!
O site misodor.com.br está online desde 04 de novembro de 2008
O nome, o logo e o site MISODOR são propriedade declarada do webmaster
Qualquer conteudo deste site pode ser integralmente ou parcialmente reproduzido, com a condição da menção da fonte.