É A MELHOR PLATAFORMA DE ESTUDO E AUTO-AVALIAÇÃO VINCULADA PARA MÉDICOS E ESTUDANTES DE MEDICINA
Escolher a tematica (coloca três letras e depois escolhe a opção:
ASSISTE NOSSOS TUTORIAIS
PROCURAR QUESTÕES PELA PALAVRA CHAVE
RATING: 2.73 ![]()
Valores de pressão intracraniana consideradas normais para lactentes:
A. 10 mmHg
CORRETO: Os valores superiores normais da PIC em crianças ainda geram divergências na literatura, diferentemente dos valores em adultos, que estão bem estabelecidos. A pressão intracraniana varia com a idade, sendo 8 a 10 mmHg considerados valores normais para lactentes, e valores de PIC inferiores a 15 mmHg considerados normais para crianças maiores ou adultos.
B. 15 mmHg
INCORRETO : veja o comentario da alternativa indicada pelo gabarito correto
C. 20 mmHg
INCORRETO : veja o comentario da alternativa indicada pelo gabarito correto
D. 25 mmHg
INCORRETO : veja o comentario da alternativa indicada pelo gabarito correto
E. 30 mmHg
INCORRETO : veja o comentario da alternativa indicada pelo gabarito correto
Gabarito: A
RATING: 3.02 ![]()
FONTE:



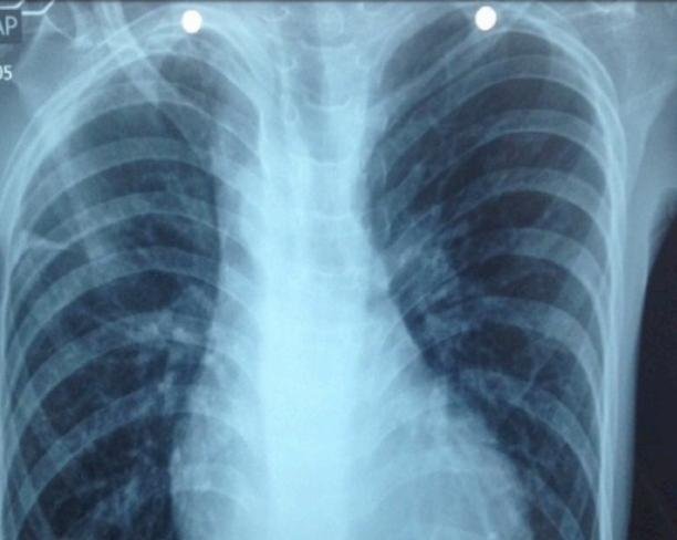
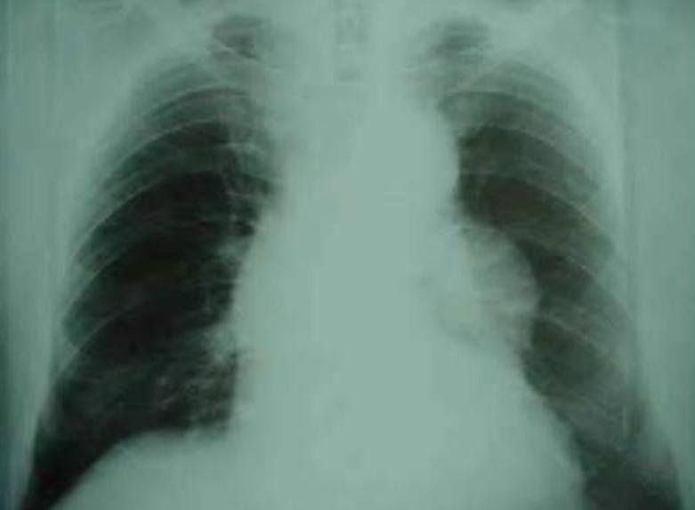
1) Qual é a suspeita diagnóstica? 0,25 p
Cardiopatia congênita (provavelmente tetralogia Fallot)
Vamos analisar: temos desnutrição, baqueteamento digital, poliglobulia maciça, sopro sistólico e arco aórtico á direita. São sinais patognomônicos para hipoxia cronica causada por algum defeito cardíaco. Cardiopatias congênitas são anomalias do aparelho circulatório presentes desde o nascimento, sendo divididas em cianóticas e acianóticas. A Tetralogia de Fallot é a cardiopatia cianótica mais comum, caracterizada por comunicação interventricular, estenose subpulmonar, origem biventricular da valva aórtica e hipertrofia ventricular direita. O diagnóstico costuma ser realizado no primeiro ano de vida devido às manifestações clínicas precoces, na maioria dos casos. Contudo, em alguns casos, a associação de outras malformações cardíacas e falhas no sistema de saúde podem contribuir para realização de diagnósticos tardios, aumentando a probabilidade de prognósticos desfavoráveis.
2) Ecocardiograma 0,25 p
A ecocardiografia é considerada o instrumento essencial para o diagnóstico.
Todos os direitos reservados. 2026.
A VITÓRIA É SOMENTE SUA! O CAMINHO É NOSSO!
O site misodor.com.br está online desde 04 de novembro de 2008
O nome, o logo e o site MISODOR são propriedade declarada do webmaster
Qualquer conteudo deste site pode ser integralmente ou parcialmente reproduzido, com a condição da menção da fonte.