É A MELHOR PLATAFORMA DE ESTUDO E AUTO-AVALIAÇÃO VINCULADA PARA MÉDICOS E ESTUDANTES DE MEDICINA
Escolher a tematica (coloca três letras e depois escolhe a opção:
ASSISTE NOSSOS TUTORIAIS
PROCURAR QUESTÕES PELA PALAVRA CHAVE

RATING: 3.08 ![]()
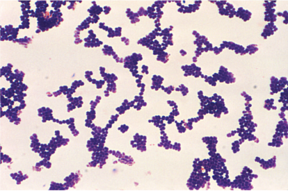
Uma menina de 2,5 anos foi diagnosticada com infecção viral respiratória superior na semana passada e agora apresenta-se ao seu médico de família com uma tosse forte e secreções purulentas das vias aéreas. Os pais dela acreditam que ela pode ter crupe e tentaram nebulização, sem sucesso. A paciente estava febril om 39,0° C nas últimas 24 horas e teve dificuldade para respirar na última hora. Sua revisão de sistemas é de outra forma normal, e a mãe nega ter percebido alguma salivação ou dificuldade/dor ao engolir. Os sinais vitais são estáveis: a frequência cardíaca de 92/min, pressão arterial de 92/60 mm Hg, frequência respiratória de 21/min, e temperatura de 38,9° C. Uma coloração gram de secreções obtidas no consultório é mostrado na imagem.

A. Organismos anaeróbios
INCORRETO: Organismos anaeróbicos são enumerados junto com Moraxella catarrhalis e Haemophilus influenzae não tipável como contribuintes significativos para casos de traqueíte bacteriana, mas todos os patógenos são menos comuns do que Staphylococcus aureus.
B. Moraxella catarrhalis
INCORRETO : Moraxella catarrhalis é um patógeno comumente associado à traqueíte bacteriana, mas não é uma causa tão comum desta condição como é o Staphylococcus aureus.
C. Haemophilus influenzae não tipável
INCORRETO : Haemophilus influenzae não tipável também foi descrito como causa de traqueíte bacteriana, mas fica atrás do Staphylococcus aureus.
D. Pseudomonas aeruginosa
INCORRETO : Pseudomonas aeruginosa está amplamente implicada em pneumonias associadas à ventilação, infecções do sistema nervoso central, osteomielite/artrite séptica, infecções do trato urinário, e infecções primárias e secundárias da pele. No entanto, não é patógeno comum em casos de traqueíte bacteriana.
E. Staphylococcus aureus
CORRETO : A traqueíte bacteriana é uma infecção bacteriana aguda das vias aéreas superiores que pode causar uma via aérea potencialmente fatal obstrução. A condição afeta pacientes que geralmente têm menos de 3 anos e costuma aparecer em seguida duma infecção respiratória viral recente. A traqueíte bacteriana é caracterizada por tosse forte com febre alta e dificuldade respiratória. Tratamentos dirigidos ao crupe (névoa e epinefrina racêmica) são ineficazes contra a traqueíte bacteriana. O mais comum patógeno responsável pela traqueíte bacteriana é Staphylococcus aureus.
Gabarito: E
RATING: 2.43 ![]()
FONTE:
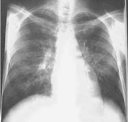
1) Quais são as duas hipóteses diagnósticas acima?
Pneumonia Pneumocócica (0.125 p) e Pneumocistose (0.125 p).
Discussão: Paciente HIV+ apresentando quadro respiratório de 3 semanas de duração.apresentando certo desconforto respiratório evidenciado por freqüência respiratória de 29 i.r.m sugerindo quadro pulmonar infeccioso. As duas condições pulmonares mais freqüentes nestes pacientes, sâo a pneumonia pneumocócica que ocorre com 5 vezes maior freqüência nestes pacientes e é associado com bacteremia em número muito grande de casos.sendo a mais freqüente etiologia de quadros pulmonares em pacientes HIV positivos.
A Pneumocistose é o quadro pulmonar mais freqüente em pacientes HIV com CD4 menor 200/ul evoluindo com sintomas inespecíficos e progressivos podendo apresentar hipoxemia importante associado.
O quadro clinico de mais de 3 semanas de apresentação com radiografia de tórax apresentando aparentemente um infiltrado intersticial difuso sugere o diagnóstico de Pneumocistose.
2) Qual é o exame que poderia CONFIRMAR o diagnóstico deste paciente?
Lavado bronco-alveolar. (0.125 p)
Discussão: A pesquisa de pneumocystis no escarro pode realizar o diagnóstico em cerca de 50-80% dos casos.em casos negativos pode-se realizar o lavado bronco alveolar que faz o diagnóstico em mais de 95% dos casos. O lavado bronco alveolar serve também para o diagnóstico de outros quadros infecciosos pulmonares, assim como de outras condições não infecciosas como hemorragia alveolar apresenta alta sensibilidade para diagnóstico de pneumonia sendo quase excludente de etiologia infecciosa em quadros pulmonares quando as pesquisas são negativas.
3) Qual é o tratamento de primeira linha deste paciente se o exame da questão 2 confirmar o diagnóstico?
Tratamento da pneumocystose com sulfametoxazol-trimetoprim sendo que este paciente apresentas indicação do uso de corticoides. (0.125 p)
Discussão: O paciente apresenta pneumocistose sendo a droga de primeira escolha para o tratamento o sulfametoxazol-trimetoprim(15-20 mg/Kg ao dia divididos em 3-4 doses) por 21 dias.
No início do tratamento pode piorar o quadro respiratório devido ao processo inflamatório causado pelo tratamento da pneumocistose, sendo indicado corticoterapia.para diminuir este processo inflamatório.
Todos os direitos reservados. 2026.
A VITÓRIA É SOMENTE SUA! O CAMINHO É NOSSO!
O site misodor.com.br está online desde 04 de novembro de 2008
O nome, o logo e o site MISODOR são propriedade declarada do webmaster
Qualquer conteudo deste site pode ser integralmente ou parcialmente reproduzido, com a condição da menção da fonte.