É A MELHOR PLATAFORMA DE ESTUDO E AUTO-AVALIAÇÃO VINCULADA PARA MÉDICOS E ESTUDANTES DE MEDICINA
ASSISTE NOSSOS TUTORIAIS
PROCURAR QUESTÕES PELA PALAVRA CHAVE
RATING: 3.07 ![]()
Mulher, 30 anos, portadora de colelitíase, com dor abdominal, febre alta e calafrios. Foi tratada conservadoramente e, após melhora inicial, apresenta quadro febril intermitente, calafrios, leucocitose. A radiografia de tórax mostra pequeno derrame pleural à direita e o RX de abdome revela nível hidro-aéreo no lobo direito do fígado. A hipótese diagnostica mais provável é:
A. pancreatite necro-hemorrágica
INCORRETO: A pancreatite necro-hemorrágica também é uma complicação da colelitíase. Entretanto, a manifestação clínica clássica é a dor no abdome superior em faixa e, nos casos de pancreatite com necrose e hemorragia, grave comprometimento do estado geral com sinais clínicos específicos tais como hematomas periumbilicais e nos flancos, sem relatos de nível hidro-aéreo no lobo hepático direito. Às vezes, há derrame pleural, mais comumente à esquerda que à direita.
B. colecistite
INCORRETO : veja o comentário da alternativa indicada pelo gabarito correto
C. abscesso hepático
CORRETO : Nesta questão, temos uma paciente de 30 anos com cálculos na vesícula, que se apresenta com febre alta, calafrios e dor abdominal. Após o tratamento conservador inicial, há persistência do quadro de febre intermitente com calafrios e leucocitoseHá um achado muito interessante no RX de abdome, que é um nível hidro-aéreo no lóbulo direito do fígado. Nesse caso, a hipótese mais provável é a de abscesso hepático
D. colangite
INCORRETO : Na colangite aguda, há dor abdominal com febre alta e calafrios acompanhadas de icterícia, a chamada 'Tríade de Charcot'. Normalmente não há coleções áreas no abdome, exceto nos casos de fístula bíleo-digestiva, quando temos aerobilia
E. perfuração de colecisto
INCORRETO : não há sinais de peritonite biliar, falta a defesa muscular
Gabarito: C
RATING: 2.91 ![]()
FONTE:
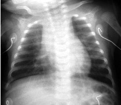
Paciente do sexo feminino, 4 anos e 8 meses, previamente hígida e eutrófica, sem vacinação prévia para vírus influenza. História de tosse e rinorreia há 2 semanas, com febre não aferida. Há 2 dias apresenta dor abdominal, vômitos e queda do estado geral. Admitida no pronto-socorro em mau estado geral, desidratada grave, normotensa, gemente, taquidispneica e taquicárdica. Temperatura: 38,1°C. Contagem de leucócitos: 10000/mm³, bastonetes 10/mm³, Frequência respiratoria: 36/min Tempo de enchimento capilar: 5 segundos.. Evoluiu com piora da taquidispneia, hipotensão, gemência, além de hepatomegalia, anasarca e presença de sopro cardíaco.
Exames laboratoriais evidenciaram anemia, acidose metabólica e elevação da concentração da proteína C-reativa. Eletrocardiograma evidenciou taquicardia sinusal (155 batimentos por minuto) e radiografia de tórax demonstrou aumento da área cardíaca, discreto derrame pleural à direita e infiltrado pulmonar difuso, sugestivo de congestão alveolar.

Respondam ás seguintes questões:
1) Qual é o diagnóstico mais pertinente na primeira impressão, neste caso?........ 0,0625 pontos.
2) Quais são as principais medidas que precisam já ser tomadas na admissão no pronto-socorrro?........ 0,140625 pontos.
3) Qual é o exame que você vai pedir para esclarecer a pré-carga e a função cardíaca?.............. 0,015625 pontos
4) Proponham uma intervenção farmacológica para tratar a piora hemodinâmica com sinais de congestão pulmonar. ..........0,21875 pontos.
5) Os exames laboratoriais evidenciaram elevação de marcadores de necrose miocárdica e marcador inflamatório. As culturas se mantiveram todas negativas e a proteína C-reativa (PCR) para H1N1 foi positiva. Qual a suspeita diagnóstica mais pertinente?..........0,0625 pontos.
1) Qual é a hipótese diagnóstica inicia mais pertinente, neste caso?
Choque (0,015625 p) (hipovolêmico (0,015625 p), cardiogênico (0,015625 p) ou septico (0,015625 p)).
DISCUSSÃO: O tempo de enchimento capilar de 5 segundos indica grande suspeita de choque. Na falta de pelo menos um criterio primario (febre ou leucocitose) CASO não pode ser suspeitado de sepse.
2) Quais são as principais medidas que precisam já ser tomadas na admissão no pronto-socorro?
Monitor (0,015625 p), oxigenioterapia (0,015625 p), acesso venoso periferico ou ósseo (0,015625 p). Ressuscitação volêmica (0,015625 p) com 5 mL/kg a 10 mL/kg (0,015625 p), com cautela (0,015625 p) e durante períodos relativamente mais longos (por exemplo, 10 a 20 minutos) (0,015625 p), e antibioticoterapia empírica (0,015625 p) (ceftriaxona 100mg/kg/dia (0,015625 p)).
DISCUSSÂO: A reposição volêmica, de modo normal é de 20 ml/kg em 5-10 minutos. No entanto, cuidado com esse caso! Um coração aumentado na radiografia do tórax de uma criança com evidência de choque e débito cardíaco deficiente. Desse modo, neste caso não podemos administrar bolus de fluidos grandes ou rápidos. Preferencialmente, um bolus de fluido isotônico pequeno de 5 mL/kg a 10 mL/kg, com cautela e durante períodos relativamente mais longos (por exemplo, 10 a 20 minutos, em vez de 5 a 10 minutos) seria mais seguro. Os bolus grandes ou administrados muito rápido podem piorar a função cardíaca e aumentar o fluido já existente nos pulmões.
3) Qual é o exame que você vai pedir para esclarecer a pré-carga e a função cardíaca?
Para obter dados mais objetivos e precisos sobre a pré-carga e a função cardíaca, o melhor exame é o ecocardiograma (0,015625 p).
4) Proponham uma intervenção farmacológica para tratar a piora hemodinâmica com sinais de congestão pulmonar.
Terapia inotrópica (0,015625 p) - Milrinona (0,015625 p) Dose de ataque: 50 mcg/kg (0,015625 p), EV, infundir em 15 min (0,015625 p) seguido de infusão contínua (0,015625 p) por dose de manutenção: 0,5 mcg/kg/min.(0,015625 p)
Terapia diuretica (0,015625 p): Furosemida (0,015625 p) como diuretico (0,015625 p) via intravenosa lenta (0,015625 p) iniciar com 1mg/kg (0,015625 p). Se necessário, aumentar 1mg/kg, a intervalo mínimo de 2 horas (0,015625 p). Dose máxima 20 mg/dia (0,015625 p), a velocidade da infusão não deve exceder 4mg/minuto (0,015625 p).
DISCUSSÂO: A milrinona é indicada para o tratamento intravenoso em curto prazo da insuficiência cardíaca congestiva severa (quando o coração não consegue bombear sangue suficiente para o resto do corpo), inclusive nos estados de baixo débito (quando o coração está tendo dificuldade de bombear sangue para o seu corpo) após cirurgia do coração. Não deve ser diluído em infusões intravenosas de bicarbonato de sódio.
5) Os exames laboratoriais evidenciaram elevação de marcadores de necrose miocárdica e marcador inflamatório. As culturas se mantiveram todas negativas e a proteína C-reativa (PCR) para H1N1 foi positiva. Qual a suspeita diagnóstica mais pertinente?
Choque cardiogênico (0,015625 p), pela insuficiência cardíaca congestiva (0,015625 p) secundária à miocardite ou cardiomiopatia (0,015625 p) associada à sepse.(0,015625 p)
DISCUSSÃO: O quadro clínico de miocardite de etiologia viral caracteriza-se pela presença de sintomas inespecíficos sugestivos de infecção viral, tais como: febre, tosse, coriza, náuseas, vômitos, dor abdominal e diarreia, acompanhados de dispneia, arritmia, síncope, insuficiência cardíaca e choque cardiogênico. Ao exame físico cardiológico, podem estar presentes taquicardia, primeira bulha abafada e galope de terceira e quarta bulhas. A paciente em questão apresentou história clínica, exame físico, exames laboratoriais (expressiva elevação da PCR e dos marcadores de necrose miocárdica) e alterações ecocardiográficas compatíveis com quadro de miocardite. O quadro foi precedido de sintomas gripais, o que direcionou a investigação etiológica para coleta de pesquisas virais, com posterior confirmação da presença de influenza H1N1 em secreção de nasofaringe.
Todos os direitos reservados. 2025.
A VITÓRIA É SOMENTE SUA! O CAMINHO É NOSSO!
O site misodor.com.br está online desde 04 de novembro de 2008
O nome, o logo e o site MISODOR são propriedade declarada do webmaster
Qualquer conteudo deste site pode ser integralmente ou parcialmente reproduzido, com a condição da menção da fonte.