É A MELHOR PLATAFORMA DE ESTUDO E AUTO-AVALIAÇÃO VINCULADA PARA MÉDICOS E ESTUDANTES DE MEDICINA
Escolher a tematica (coloca três letras e depois escolhe a opção:
ASSISTE NOSSOS TUTORIAIS
PROCURAR QUESTÕES PELA PALAVRA CHAVE
RATING: 2.84 ![]()
Pais trazem seu filho de 3 anos a Emergência e estão muito assustados. Referem que a criança estava bem, quando há cerca de 6 horas, de forma súbita, passou a apresentar febre, prostração intensa e dor muscular que o impede de andar. À ectoscopia observamos discretas lesões cutâneas purpúricas no tronco e nos membros superiores medindo 0,5 cm em seu maior diâmetro. Dos possíveis agentes etiológicos para este caso, qual deles teria o pior prognóstico com possibilidade de choque refratário e morte em poucas horas?
A. Influenza
INCORRETO: veja o comentario da alternativa indicada pelo gabarito correto
B. Pneumococo
INCORRETO : veja o comentario da alternativa indicada pelo gabarito correto
C. Meningococo
CORRETO : Um quadro de início súbito com: febre, prostração,dor muscular intensa e um exantema que surge em poucas horas (principalmente quando as lesões cutâneas são hemorrágicas) deve levantar a suspeita de um quadro gravíssimo: a meningococcemia fulminante. Esta doença tem uma elevada taxa de letalidade, sendo que 50% das mortes ocorrem ainda nas primeiras 12 horas de evolução.
D. Hemófilos
INCORRETO : veja o comentario da alternativa indicada pelo gabarito correto
E. Varicela-Zoster
INCORRETO : veja o comentario da alternativa indicada pelo gabarito correto
Gabarito: C
RATING: 2.95 ![]()
FONTE:
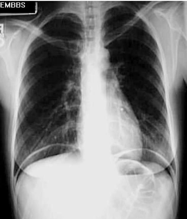
Ao exame: fácies de dor, temperatura axilar de 38.5 °C, hipocorada +/4+, pressão arterial 100/60 mmHg, pulso 110 bpm, frequência respiratória 32 RPM. Desidratada ++/4. Abdome distendido, difusamente doloroso, com presença de sinal do rebote. Hipertimpanismo difuso. Ruídos hidroaéreos abolidos. Sem outros achados. O cirurgião assistente solicitou rotina radiológica para abdome agudo, cuja grafia de tórax em PA ortostático é apresentada abaixo.

A partir dessas informações, cite:
1) A principal hipótese diagnóstica - 0,25 pontos
2) O tratamento a ser instituído, justificando sua resposta com base nos dados fornecidos. - 0,25 pontos
RATING: 2.95 ![]()
1) A principal hipótese diagnóstica
Úlcera péptica perfurada. (0,25 p)
DISCUSSÃO: Paciente em pós-operatório de operação de longa duração, tendo feito uso prolongado de medicação anti-inflamatória não esteroidal (segundo os dados apresentados por pelo menos 06 dias). Sabe-se que o uso de anti-inflamatórios não esteroidais tem forte associação com a gênese da úlcera péptica, assim como de suas complicações.
Na ocasião da reinternação, a paciente foi admitida em franco quadro de abdome agudo. Chama a atenção em sua história o início súbito de dor, bem caracterizada em termos cronológicos (achado comum na perfuração ulcerosa). Clinicamente ainda, os achados de febre, taquicardia, desidratação e íleo corroboram esse diagnóstico. A presença do sinal do rebote caracteriza estar havendo irritação peritoneal, plenamente justificada pela peritonite química, comum a esse tipo de complicação da doença ulcerosa. Por fim, o achado radiológico de pneumoperitôneo documenta a presença de perfuração de víscera oca. Nota-se ainda ao raio-X simples a presença de alça em sentinela ao nível do epigástrio, bastante comum em casos como esse.
2) O tratamento a ser instituído, justificando sua resposta com base nos dados fornecidos.
O tratamento a ser instituído deve ser operação de urgência logo após rápida compensação da paciente do ponto de vista hidroeletrolítico.(0,25 p)
Todos os direitos reservados. 2026.
A VITÓRIA É SOMENTE SUA! O CAMINHO É NOSSO!
O site misodor.com.br está online desde 04 de novembro de 2008
O nome, o logo e o site MISODOR são propriedade declarada do webmaster
Qualquer conteudo deste site pode ser integralmente ou parcialmente reproduzido, com a condição da menção da fonte.