É A MELHOR PLATAFORMA DE ESTUDO E AUTO-AVALIAÇÃO VINCULADA PARA MÉDICOS E ESTUDANTES DE MEDICINA
Escolher a tematica (coloca três letras e depois escolhe a opção:
ASSISTE NOSSOS TUTORIAIS
PROCURAR QUESTÕES PELA PALAVRA CHAVE
RATING: 3.6 ![]()
O baixo peso ao nascimento está associado a alguns fatores de risco metabólico em longo prazo, diretamente relacionados ao desenvolvimento de doenças cardiovasculares. Quais são esses riscos?
A. resistência insulínica, hipotireoidismo, hipertensão arterial
INCORRETO: veja o comentário da alternativa indicada pelo gabarito correto
B. dislipidemia, hipercortisolismo, hipogonadismo
INCORRETO : veja o comentário da alternativa indicada pelo gabarito correto
C. hipertensão arterial, dislipidemia, hipotireoidismo
INCORRETO : veja o comentário da alternativa indicada pelo gabarito correto
D. dislipidemia, resistência insulínica, hipogonadismo
INCORRETO : veja o comentário da alternativa indicada pelo gabarito correto
E. resistência insulínica, dislipidemia, hipertensão arterial
CORRETO : Estudos recentes sugerem que doenças como diabetes tipo 2, coronariopatias, hipertensão arterial e obesidade relacionam-se a inadequado crescimento intrauterino e não apenas baixo peso ao nascer, fenômeno denominado programação ou hipótese da origem fetal de doenças. Os indivíduos que, expostos à desnutrição intraútero durante os primeiros anos de vida apresentam redução no metabolismo oxidativo de lipídios, e carboidratos como fonte preferencial para a obtenção de energia resultam em maior depósito de gordura corpórea, contribuindo para o aumento na prevalência de obesidade nas nações em desenvolvimento
Gabarito: E
RATING: 3.13 ![]()
- glornerulonefrite aguda (0,05 p)
- abuso de drogas (0,05 p)
- doença vascular do colágeno (0,05 p)
- hipertensão renovascular (0,05 p)
- trauma craniano (0,05 p)
- redução do peso corpóreo em indivíduos com excesso de peso (0,025 p)
- aumento do consumo de vegetais frescos (0,025 p), frutas (0,025 p) e leite/derivados desnatados (0,025 p)
- redução do consumo diário de sódio (0,025 p)
- moderação no consumo do álcool (0,025 p)
- atividade física regular (30 a 60 min e atividade física vigorosa na maioria dos dias da semana) (0,025 p)
- redução das atividades sedentárias (assistir à televisão, jogos eletrônicos) para menos de 2 h diárias (0,025 p)
- cessação do hábito de fumar (0,025 p) e o incentivo para nunca iniciar esse hábito (0,025 p)
FONTE:


1) Qual é a primeira suspeita?
A primeira suspeita seria uma dissecção de aorta, havendo hipertensão sistolo-diastólica. Os fenômenos vaso-vagais (transpirações geladas, desmaio, fraqueza) não são específicos - 0,1 p
DISCUSSÂO:
Dor intensa retrosternal com caráter lancinante pode aparecer no infarto de miocárdio, mas neste caso ela apareceu de repente (em IMA tem caráter progressivo).
Embolia pulmonar ou pneumotórax espontâneo poderiam entrar em discussão, por causa da dor brusca + hemoptise, mas raramente evoluem com dor retrosternal - geralmente a dor e torácica, com caráter de pontada.
2) Quais são as modificações elétricas e radiológicas e qual é o diagnóstico sugerido?
A electrocardiografia pode ate sugerir um infarto, sendo as modificações: ST supradenivelada em II, III, AVF, e subdenivelação 'em espelho' do ST nas derivações I, aVL, V6. O diagnostico poderia ser de infarto agudo de miocárdio, mais considerando a sintomatologia (dor surgida de repente, ausência do pulso, o carácter da dor) ainda não podemos eliminar a possibilidade da dissecção de aorta, especialmente porque se for dissecção coronariana associada o EKG teria mesmo modificações de tipo infartoide. - 0,05 p
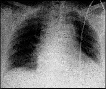
A radiografia de tórax, obtida no leito, e sugestiva de cardiomegalia e alargamento do mediastino, observando-se ainda ateroma calcificado na croça da aorta, projetando-se a 2 cm do bordo externo do vaso, sugerindo dupla luz aórtica
Praticamente, confirma-se a suspeita de dissecção aortica tipo A Stanford (com envolvimento da aorta ascendente). - 0,05 p
3) Qual é o tratamento imediato, sendo que a suspeita vascular se confirma?
Tratamento Clínico - Terapêutica anti-impulso.
1) Metoprolol 5 mg EV a cada 5 min até 15 a 20 mg,- 0,06 p Propranolol 1 mg de 5/5 min até 6 doses, s/n repetir de 2/2h.- 0,06 p
2) Nitroprussiato de Sódio 0,5 a 5 ug/kg/min (manter PA média de 60-70 mmhg).- 0,06 p
Deve-se ter como meta: o controle de pressão arterial e da dor, com parada do processo de dissecção. - 0,06 p
Se PA estiver muito baixa sem medicação pensar em tamponamento pericárdico. - 0,06 p.
Todos os direitos reservados. 2026.
A VITÓRIA É SOMENTE SUA! O CAMINHO É NOSSO!
O site misodor.com.br está online desde 04 de novembro de 2008
O nome, o logo e o site MISODOR são propriedade declarada do webmaster
Qualquer conteudo deste site pode ser integralmente ou parcialmente reproduzido, com a condição da menção da fonte.